简体中文
繁體中文
English
林隆村:23岁女孩抽脂住进ICU,肺部栓塞成一片“暴风雪”!





减肥,可能是每个爱美人士永恒的话题,如今减肥塑身的方式也越来越丰富,无论选择哪一种方式,我们都建议要在专业人士的指导下进行。


最近,就接连有两位女孩,因为在民营整形机构进行抽脂手术,却在术后发生了凶险的肺栓塞,被紧急送往浙江大学医学院附属第一医院进行抢救。经过多学科专家全力救治两位女孩最终转危为安。这并不是浙大一院第一次接诊在整形医院进行整形项目而发生险情的病例了。专家再次呼吁,爱美一定要小心谨慎!



23岁女孩抽脂2200ml


23岁的小月(化名)是东北人,3年前偶然一次机会来到杭州,一下子就喜欢上了江南水乡的风光,和家里商量后,小月在杭州一家公司找到了一份文员的工作,留在了这里。


说起来,小月从小就长得好看,她唯一对自己不满意的,可能就是“身材”。其实在别人眼里,她并不胖,一米六五的身高,62千克,在标准体重之内。但小月总觉得自己还不够苗条,特别觉得腿有些粗,每次看到女明星的大长腿,她总是很羡慕。


这两年,小月用了好几种减肥方法,健身、吃药、节食,但她总是坚持不了太久。今年有朋友给她“安利”了抽脂减肥,只需要几个小时,就能实现目标。小月心里虽然也有点嘀咕,毕竟要做个手术,但耐不住一颗想迫切减肥的心,今年9月中旬,在多次比较后,选定了杭州某民营整形机构进行双下肢脂肪抽吸手术。



当天,小月在该整形机构接受了全麻手术,两条大腿前后侧共抽脂2200ml。“我醒过来后,就觉得有点胸闷,很想咳嗽,而且越来越厉害,就呼叫了护士。”小月说。


这之后的事情,小月就只有模模糊糊的印象了。当时小月出现了严重的胸闷气促,血氧饱和度低于90%(正常人在95%以上),血压也低于正常水平,该整形医院在进行紧急处理后,小月的情况仍没有好转,便迅速呼叫120一路飞驰将她送到了浙江大学医学院附属第一医院。


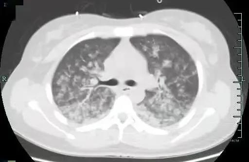
肺里一片“暴风雪”


急诊接诊医生在了解小月的病史后,考虑其可能是抽脂手术后发生了肺栓塞,此时小月已经陷入昏迷状态,急诊科专家团队一边为小月完善各项检查,一边为其进行紧急对症治疗,一边呼叫ICU、呼吸内科进行急会诊。


“肺栓塞是以各种栓子阻塞肺动脉或其分支的一组疾病或临床综合征的总称,会导致肺循环和呼吸功能障碍,小月在抽脂手术后出现血氧饱和度低等情况,再根据各项检查结果,基本可以判断是肺栓塞。若不及时治疗,会导致严重的呼吸衰竭,严重者可能猝死,但如果能够尽早干预,预后还是比较好的。”呼吸内科周华主任医师说。



一般来说,抽脂手术后发生肺栓塞,可能有两种原因:一是手术造成血管内皮损伤等原因,可导致深静脉血栓形成及肺动脉血栓栓塞的发生,为肺血栓栓塞;二是脂肪被抽吸后,由于脂肪细胞被破坏,脂肪细胞中的小颗粒有可能顺着破损的血管进入血液从而导致脂肪栓塞,为肺脂肪栓塞。这两种栓塞都可能在术后短时间内就发生。


两种原因造成的结果相似,但治疗方案截然不同。根据小月的肺动脉CTA、肺部CT等检查结果显示,小月为肺脂肪栓塞,此时小月的肺部已是白茫茫一片,就像暴风雪一样,脂肪进入她肺部,刺激血管发生痉挛,产生严重的炎症因子风暴!


小月被迅速转入ICU进行救治,肺部的脂肪会被机体逐渐吸收,但由于造成严重炎症,此时的生命支持治疗就显得尤为重要,ICU专家团队通过激素、抗凝、抑酸护胃、补液等一系列对症治疗后,小月的血氧饱和度渐渐恢复了正常。“我从整形医院开始就意识模模糊糊的,等我再次清醒过来时,发现自己在ICU里了。”



病情平稳后的小月,被转入呼吸内科普通病房接受了进一步的治疗,经过神经内科、整形外科等专家会诊后,小月各项指标都已恢复,住院4天后,顺利出院。


而就在小月出院后不久,急诊科又接诊到一例进行双下肢抽脂手术后发生肺栓塞的患者,这位女孩症状相对较轻,在呼吸内科接受治疗2天后出院。




抽脂可以快速变瘦

选错方法就是玩命


近日,某网红到杭州某医疗美容医院,进行脂肪抽吸手术术后因出现坏死性筋膜炎及感染性休克而死亡,这早已不是抽脂手术第一次“爆雷”。很多人“管不住嘴,迈不开腿”,又想减肥,于是寄希望于抽脂手术。但抽脂手术真的能使人“一夜暴瘦”吗?抽出的脂肪越多,效果越好吗?抽脂手术要注意什么?协和整形外科专家带您了解“抽脂”那些事。


什么是脂肪抽吸手术?


首先我们要了解自己身上的脂肪。脂肪依照堆积的部位不同,可分为“内脏脂肪”及“皮下脂肪”两种。内脏脂肪可通过运动和饮食控制等方法减少,皮下脂肪则相对难消除。



脂肪抽吸手术又称吸脂术,其原理是通过皮肤小切口或穿刺孔,在负压吸引作用下,用直径约2.5毫米的吸脂针将预处理过的皮下脂肪部分去除,使局部(如颈部、肩背、四肢、腰腹部等处)脂肪层变薄,达到身体局部塑形的效果,是一种常见的整形外科操作,吸出的脂肪还可以用于身体其他部位的填充移植。


抽脂手术可以一夜暴瘦吗?


一些人对脂肪抽吸手术存在误区,认为手术后体重会减轻很多,其实并非如此。正常成年人脂肪占体重的10%~20%(男性)或15%~25%(女性),故比起减重,脂肪抽吸手术更倾向于“体型雕塑”。


人成年后,脂肪细胞总数已固定不变,胖瘦主要取决于脂肪细胞内所含脂类物质的多少。也就是说,被“抽走”的脂肪虽然不会再长回来,但剩余脂肪细胞的体积仍有继续增大的可能。若不改变不良生活习惯,脂肪抽吸手术后不久,体重和体型均会被“打回原形”。


人们比较容易看到的是皮下脂肪。而内脏脂肪的增加和脂肪在人体内的异位沉积(如脂肪在肝脏、肌肉等处堆积)危害更大。内脏脂肪“超标”,患糖尿病、血脂异常等各种代谢性疾病的风险随之增高。抽脂手术针对的是体表的皮下脂肪层,对减少内脏脂肪及改善健康的意义十分有限,“为健康而吸脂”无从谈起。



抽脂手术抽的越多越好?


皮下脂肪是人体的脂肪库,是在正常的代谢过程所剩余的部分,少量脂肪有缓冲,保暖和蓄积能量的作用,是维持女性身体柔软,圆润曲线美的必要物质。


当皮下脂肪过多地蓄积时,优美的曲线就会消失,人也变得臃肿、苍老。但当吸脂减肥后皮下脂肪过薄时,也会使皮肤失去弹性和柔软的手感,甚至造成局部皮肤血运障碍。


因此,“抽脂”不能随心所欲,“抽”哪里、“抽”多少均应与主诊医生共同商定,保证脂肪抽吸的效果与身体其他部位保持协调。一般而言,在实施吸脂手术时应保留皮下脂肪的厚度约为0.5-1cm,不能过薄。


手术最重要的是安全,单次抽脂量越大、部位越多,手术时间越长,术后并发症发生风险越高,术后恢复越慢。所以,比较建议多处肥胖者分次、分部位进行脂肪抽吸手术。



抽脂手术有哪些风险?


虽然脂肪抽吸手术较为成熟、安全,但术前准备不充分或术后护理不当,仍可能发生严重并发症。坏死性筋膜炎就是少见却凶险的脂肪抽吸手术并发症之一。


此外,脂肪抽吸手术还存在麻醉风险、脂肪栓塞的可能。脂肪栓塞可造成脑栓塞、肺栓塞,甚至死亡,多由术中暴力操作引起。


其实,不论大小手术都有风险,无法做到完全杜绝一切并发症。但在可控范围内,熟练的医生依然能将并发症概率控制到最低。如果能够挑选正规的医疗场所就诊,由正规的医务人员操作,我们的变美之路会更加安全。


抽脂手术应该注意什么?


① 受术者身体健康,无严重的内科疾病,如患有高血压,冠心病、糖尿病、凝血功能障碍、局部皮肤有感染者,则不适合做抽脂手术。



② 抽脂手术适用于以下对象:整体身形脂肪较多、局部瘦身者、腹部脂肪肥厚、皮肤凹凸不平,影响外观及功能等。抽脂的常见部位包括:下腹、上腹、髂腰部、臀上、后背、大腿、小腿、颈部等。


③ 如系内分泌疾患引起的周身弥漫性肥胖,则不宜做单纯的吸脂,而应通过内科作系统的检查及治疗。


④ 抽脂手术并无明显的年龄限制,但最常见的抽脂减肥塑身年龄为18岁~55岁。


专家提醒:任何一台手术,无论大小,必须配备一支经验丰富的医疗团队。求美者一定要充分了解医疗机构、医生、设备等各方面信息,选择正规的医疗机构、经验丰富技术精湛的医生操作。


本文来源:浙大一院、武汉协和医院




来源:医美视界  公众号



 
信任指数排行榜
+10576
+7499
+7253
+5486
+4834
+3487
+3429
+2672
+2621
+2245
+2182
+2150
+2039
+1540
+1483


出书大师  |  作者入驻 | 关于我们 | 网站安全 | 联系我们 | 网站首页 | 加盟代理


Copyright ©2018 zuozhebang.cn 版权所有:真自信息科技(上海)有限公司

网站备案号: 沪ICP备18003907号-3 沪ICP备18003907号-2|出版物经营许可证: 新出发沪第U7332号|计算机软件著作权登记证书:软著登字第3440436号|广播电视节目制作经营许可证:(沪)字第04185|

网络文化经营许可证编号:沪网文(2021)1152-084号|增值电信业务许可证号:沪B2-20201633|股权代码:368155

公司地址:上海市闵行区新源路1356号正珏科技园A座316室